- ホーム
- 診療科のご案内
- 歯科口腔外科(一般歯科・インプラント歯科)
- 親知らず(智歯)の抜歯
歯科口腔外科(一般歯科・インプラント歯科)
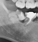
親知らず(智歯)の抜歯
親知らずが骨の中に埋まっている場合には、局所麻酔を行い、歯肉を切開し、歯の周囲の骨を削除します。傾斜している親知らずの場合には、歯を分割して抜歯します。抜歯後は縫合し、翌日に消毒、1週間後に抜糸します。通常は外来通院で行いますが、歯が深く骨に埋まっている場合には、入院全身麻酔下で行うこともあります。
親知らず(智歯)の抜歯




親知らずが骨の中に埋まっている場合には、局所麻酔を行い、歯肉を切開し、歯の周囲の骨を削除します。傾斜している親知らずの場合には、歯を分割して抜歯します。抜歯後は縫合し、翌日に消毒、1週間後に抜糸します。通常は外来通院で行いますが、歯が深く骨に埋まっている場合には、入院全身麻酔下で行うこともあります。



