耳鼻咽喉科(聴覚・人工内耳センター)
耳鼻咽喉科のご案内
耳鼻咽喉科が担当する領域は耳・鼻・のどで、これらすべての疾患を対象に診療を行っています。
特に「難聴」に関しては、小児から高齢者までの患者様に対して診断や治療法をご提案しております。必要な患者様には補聴器調整や聴力改善手術、人工内耳植え込み術、難聴遺伝子検査などの最先端の医療をご提供しております。日本耳科学会認可研修施設に認定され、多くの耳科手術を高いレベルで指導できます。
詳細は聴覚人工内耳センターへ
また、アレルギー性鼻炎や慢性副鼻腔炎(ちくのう症)、鼻副鼻腔疾患に対しても、保存的治療から手術まで積極的に行っており、鼻閉に対する日帰りのレーザー手術も行っています。
患者様のQOL(生活の質)を高いレベルで改善すべく、当科のスタッフ一丸となって最先端医療を実践しています。
以下の診療に力を入れています。

耳鼻咽喉科専門外来について
当院耳鼻咽喉科では、難聴、音声、アレルギー性鼻炎、味覚・臭覚障害、再生医療による鼓膜穿孔閉鎖、めまい・平衡検査、いびきに対して専門的な診療や治療を行っております。
メニエール病に対する内リンパ水腫画像診断
めまいを繰り返したり、難聴が変動するメニエール病の原因は「内リンパ水腫」と言われています(図2)。当科では実際に内リンパ水腫を生じているのかを画像で可視化することによって判断する検査を臨床研究として行っております(図3)。方法は鼓膜に麻酔を行った後、経鼓膜的に鼓室内へ造影剤を注入し、24時間後に3.0テスラMRI撮影(高分解能)を行います(1泊2日)。
メニエール病をはじめとした繰り返すめまいや難聴等でお悩みの方は、原因をはっきりさせるためにもぜひご相談ください。


鼻副鼻腔疾患に対する治療
鼻づまり・鼻水・においがわからないなどの鼻症状を起こす疾患として、下記のように様々な疾患があります。
慢性副鼻腔炎(ちくのう症)
ヒトの鼻はいくつもの空洞に分かれており、それらを副鼻腔といいます(図4)。それぞれの副鼻腔は自然口という小さな通路でつながっていますが、この通路が炎症などでふさがると副鼻腔内で炎症を起こし、粘膜が腫れて粘液がたまります。この状態が長引いたものが慢性副鼻腔炎で、膿がたまると蓄膿症という状態になります。たまった粘液がさらに粘膜の炎症を引き起こし、鼻茸(ポリープ)を増生させることがあります(図5)。ポリープによってにおいの分子が嗅神経に届かないと、嗅覚障害をもたらすことがあります。嗅覚が低下すると味も感じにくくなる味覚障害を自覚することもあります。慢性副鼻腔炎を治すことで、嗅覚障害が改善します。

副鼻腔はいくつもの小さい部屋に分かれています。

内視鏡で観察しています。
鼻茸(ポリープ)が確認されています。(黄色*)
主にマクロライド系という抗生物質を使い、飲み薬で炎症を抑える様に治療を開始します。ポリープがある場合には飲み薬での治療は効果があまり期待できません。全身麻酔での手術を勧めています。現在の副鼻腔手術は内視鏡を用い、鼻の穴からすべて手術を行ってしまうので昔のように顔が大きく腫れることはありません。入院は4-7日くらいになりますが、通院可能であれば短縮は可能です。
当院では副鼻腔手術の合併症を軽減させるためにナビゲーションシステムを使用して内視鏡下鼻副鼻腔手術を施行しています。ナビゲーションシステムを使用することにより手術がより安全にできるようになりました。
好酸球性副鼻腔炎
好酸球性副鼻腔炎とは原因不明の難治性の副鼻腔疾患です。中等症以上の好酸球性副鼻腔炎は指定難病となることもあります。アレルギーや微生物が原因とも提唱されています。両方の鼻のなかに多発性の鼻茸(ポリープ 図6)と粘稠(粘っこい)な鼻汁が多く、鼻づまりと嗅覚の低下をもたらします。気管支喘息を合併している患者さんが多く、成人から発症することが特徴です。鼻茸(ポリープ)が充満して鼻閉があるので自然と口呼吸になり、口呼吸により誘発される喘息発作がひどい呼吸困難(息苦しさ)をもたらします。副鼻腔手術で鼻閉を改善し口呼吸の回数を減らすことが喘息発作軽減に有効と言われています。
副鼻腔手術で鼻茸を摘出しても再発する方が多く、複数回の手術が必要になる患者さんも少なくありません。
図6:好酸球性副鼻腔炎のポリープです。このポリープを顕微鏡で観察すると、この疾患に特徴的な
好酸球の浸潤(黄色矢印で示した赤く染められている細胞です。)が多数認められます。
軽症例では点鼻薬は内服などで炎症を抑える治療を行いますが、ある程度ポリープが大きくなっている場合はお薬での治療効果は限定的なので、内視鏡下鼻副鼻腔手術をお勧めしています。手術後は鼻の洗浄など慢性副鼻腔炎の治療に準じて経過を追跡していきます。鼻閉や嗅覚障害が認められた場合にはステロイドの内服を追加します。口呼吸が喘息症状を増悪させることが報告されているため鼻茸の増生が高度になった場合には再手術することを勧めています。
また、2020年より、デュピルマブという注射薬を副鼻腔炎に対して使用することが可能になりました。鼻茸を伴う副鼻腔炎で、手術しても再発を繰り返す、既存の治療で効果がないという方が対象になります。
IL-4やIL-13という免疫に関連した物質に働くことで鼻内での炎症を抑える効果がある薬剤であり、鼻茸の縮小や鼻汁の減少が期待できます。これまで継続的に行っていた内服薬が不要になる可能性もあります。
好酸球性副鼻腔炎の患者さんで指定難病に認定された場合には医療費の減額が可能なので、治りにくい副鼻腔炎の患者さんには、正確な診断や選択しうる治療方針などについて相談させていただきます。

アレルギー性鼻炎
体が外から物質を取り込んだときに過剰に反応を起こしてしまうことをアレルギーといいます。特に鼻で症状が強く出ている状態をアレルギー性鼻炎といいます(図7)。
一般的に言われているスギ花粉症はスギ花粉に対するアレルギー反応が鼻や目で強く症状が出ている物を指しています。もちろんスギ花粉だけではなく、ヒノキやイネ科の花粉、ハウスダストやダニでもアレルギーを起こしてアレルギー性鼻炎と診断されることも多くあります。
くしゃみ、鼻水、鼻づまりが3大症状といわれています。慢性副鼻腔炎の鼻汁とは性状が大きく異なり、水っぽくてさらさらした鼻汁が特徴的です。


水っぽい鼻汁が多く出ている鼻粘膜
内服、点鼻液を使って治療を開始します。特定の季節だけ症状が出る場合に有効です。
薬剤で思うような効果が得られないような重度の症状が認められている場合や、一年中症状が認められるようなケース、内服に制限があるような患者さんには手術加療を勧めています。
局所麻酔で行うことができ、所要時間が15分程度の下鼻甲介粘膜レーザー焼灼術をまずお勧めしています。
鼻水やくしゃみが強くでる場合には後鼻神経切断術を行うことがあります。レーザー焼灼術での効果が弱い方には、粘膜下の骨を摘出して鼻腔を拡げる手術を考慮します。

【舌下免疫療法】
スギ花粉症を対象とした「舌下免疫療法治療薬」が平成26年10月より販売開始となり、保険診療での使用が可能となりました。従来の治療法であった「減感作療法」は注射による治療でした。しかし、今回の「舌下免疫療法」は舌の下にスギ花粉症の原因となる物質(アレルゲン)を投与する方法であるため、
1、注射による痛みがない
2、皮下注射法に比べて安全性が高い
という点で注目されている治療法です。
治療には、事前に治療対象となるかを調べるための検査が必要です。さらに、治療に関する注意点も十分に理解していただく必要があります。
【オマリズマブ(商品名:ゾレア)】
従来のアレルギー性鼻炎(花粉症)治療で改善の乏しい重症スギ花粉症患者さんは、ゾレアという注射薬での治療の対象になることがあります。
これは、花粉症の症状を引き起こすIgEという物質の働きを抑えることで症状の改善を図る治療で、十分な効果が出れば従来のような内服や点鼻薬などの薬剤での治療が不要になることも期待できます。
スギ花粉の症状のある時期にしか使用できませんが、従来の治療でなかなか改善しない患者さんはこの薬剤が使用できるかどうかも含めた検査をお勧めしますのでぜひ受診してみてください。

まずは一度受診していただき、必要な検査を行ったうえで、皆様に最適な治療法をご提案させていただきます。
肥厚性鼻炎
慢性刺激により鼻粘膜が肥厚した状態で、鼻閉の原因となります。
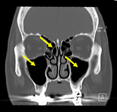
鼻中隔弯曲症
鼻中隔という鼻腔を左右に分ける壁が弯曲し、鼻閉を起こす疾患です。鼻腔の狭窄により慢性副鼻腔炎などの原因にもなります。
体が成長する発育過程において様々な原因で鼻中隔が湾曲して息の通りが悪くなります。外見からはわかりませんが、CTで確認すると(図8)、鼻中隔が大きく曲がっていることが分かります(黄色矢印)。湾曲の程度が軽度の場合には問題ありませんが、重度の場合には片方の鼻閉を常に自覚し、空気の通過障害を起こして粘膜の障害を生じやすくなるといわれています。
湾曲が軽度で症状がない場合にはそのまま様子を見ます。鼻閉を自覚し慢性副鼻腔炎を伴う場合には鼻中隔矯正術という手術を行います。慢性副鼻腔炎や好酸球性副鼻腔炎の手術と同時に行うケースも多数あります。

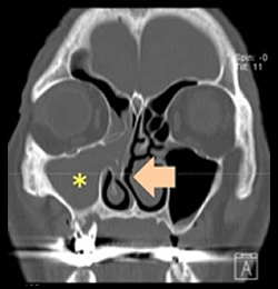
鼻腔を閉塞している(∗)

それにより副鼻腔炎も合併している(∗)
当院においては、内服薬で改善のない場合や病変の程度が著しい場合などは手術療法を選択しています。全身麻酔から日帰りでできる局所麻酔の手術まで、病状と患者様の希望も含めて最適な手術を提案させていただきます。鼻症状でお困りの方はぜひ一度ご相談ください。
内視鏡下鼻・副鼻腔手術
主に慢性副鼻腔炎に対して行います。内視鏡を使用した、鼻内からの低侵襲な手術方法です。
また、鼻は目や脳に近いため、合併症の予防を目的としてナビゲーションシステム(図9)を用いた手術を積極的に行っています。
ナビゲーションシステムを用いることで、手術操作を行っている部位を術中にリアルタイムに把握することができ、より安全な手術を行うことが可能です。

鼻中隔矯正術、下甲介切除術
鼻中隔弯曲症、肥厚性鼻炎に行われる手術です。弯曲した鼻中隔の骨や軟骨を切除し、肥厚した鼻粘膜を減量することで鼻閉の改善が得られます。
下鼻甲介粘膜レーザー焼灼術(日帰り手術)
アレルギー性鼻炎、肥厚性鼻炎に対して行われる手術です。鼻粘膜をレーザーで焼灼することにより、鼻閉・鼻汁などへの効果が得られます。麻酔のガーゼを鼻の中に挿入して表面麻酔を行うことで、無痛性に行うことができます。手術時間は10分程度であり、術後すぐに帰宅することができます。
内視鏡下鼻副鼻腔手術と合併症
以前は狭く操作しづらい鼻の中を目視と手の感覚で手術をしていました。鼻の空間は、頭蓋底(脳を収めている部屋の床)や眼窩(眼球を収めている部屋)に隣接しており、手術操作によっては、重篤な合併症(髄膜炎や失明など)を引き起こしかねませんでした。内視鏡やリアルタイムで確認できるCCDカメラの発達により、術野を明るく大きく拡大して確認しながら行うようになったために、合併症の頻度は減少しましたが、いまだにある一定の確率で合併症は起こりえます。
それは鼻の奥の形は人によってそれぞれ異なっており、同じ形をしている鼻はないことが理由の一つとされています。
コンピューターと画像処理技術の発達で、それぞれの患者さんの鼻のCT画像をコンピューターに取り込み、立体モデルを構築させます。合併症をおこしうる危険部位をリアルタイムで確認して手術できるのがナビゲーション手術支援システムです。当院ではこのシステムを用い、より安全に手術ができるようにしています。
嚥下内視鏡検査
●食事のムセや詰まり、食事量の減少がある方へ
嚥下機能の低下には要注意!
老化によって体力や筋力などの身体機能の低下が起こることは誰しもに起こりうる生理的な変化ですが、そこに栄養状態の悪化が加わると急激な全身状態の低下をきたすことがあります。全身状態の虚弱のことを“フレイル”と言いますがその主な要因の一つとして食事摂取の低下が挙げられます。
食事摂取の低下の原因としては先に挙げたような加齢に伴う筋力の低下や口腔乾燥・嚥下反射低下などが知られています。
嚥下機能が低下すると、知らず知らずのうちに経口摂取量が減少してフレイルをきたしたり、また誤嚥(食物や唾液・喀痰などが本来流れ込むべき食道ではなく気道へ入ること)を起こすことにより肺炎を繰り返すことがあります。日本人の死因の第3位が肺炎であるように、特にフレイルを来している高齢者にとって肺炎は時に重篤な疾患となる可能性があります。
診断とリハビリテーションでの治療
当科では嚥下機能低下の原因検索及び治療の方針を決定することを目的に、嚥下内視鏡検査を行なっています。具体的にはST(言語聴覚士)立会いの下、外来で経鼻内視鏡を用い、着色水などを用いた嚥下機能のスクリーニング検査を行なっています。検査の結果によってはSTの介入によるリハビリが必要になりますが、その場合は当院のリハビリテーション科にて外来でのリハビリテーションも可能です。また、嚥下内視鏡検査を行なうことによって、食事のつかえ感が腫瘍によるものや大動脈瘤等の全身疾患であることが判明するケースもあります。
食事の際のムセやつかえ感などが出てきて思うように食事をとることが出来なくなってきたとご心配の方はぜひとも当科の嚥下内視鏡外来を受診していただければと思います。

ST同席で嚥下機能の評価を行ないます。

この患者さんは嚥下後にも咽喉頭に着色水の貯留が認められ、
嚥下機能が軽度悪化していることが分かりました。
業績について
当院耳鼻咽喉科の医師による、原著、総説、著書などの業績を年ごとにまとめております。
手術実績
2024年度手術実績(2024年4月1日~2025年3月31日)手術室で実施のもの
| 診療科 | 術式 | 2024年度 |
|---|---|---|
| 耳鼻咽喉科 | 鼓室形成術 | 26 |
| 人工内耳手術、人工中耳、BB、BAHA | 77 | |
| 乳突削開術 | 20 | |
| リティンパ | 43 | |
| 内視鏡下鼻・副鼻腔手術 | 74 | |
| 鼻中隔矯正術 | 46 | |
| 下鼻甲介切除術 | 41 | |
| 扁桃摘出術 | 114 | |
| 口蓋垂・軟口蓋形成術 | 32 | |
| 下鼻甲介粘膜レーザー焼灼術 | 46 | |
| その他 | 32 | |
| 計 | 551 |
外来医師担当表
| 曜日 | 午前 | 午後 |
|---|---|---|
| 月 |
高橋 優宏 古舘 佐起子 岡 晋一郎 小山田 匠吾 |
(手術) |
| 火 | (手術) | (手術) |
| 水 | ★岩崎 聡 古舘 佐起子 岡 晋一郎 |
★古舘 佐起子〈いびき・アレルギー〉 ★岡 晋一郎〈味覚・嗅覚〉 ★〈補聴器外来〉 |
| 木 |
古舘 佐起子 (手術) |
★高橋 優宏〈小児難聴〉 ★渡邊 雄介(第1週) ★〈補聴器外来〉 (手術) |
| 金 | ★岩崎 聡 高橋 優宏 岡 晋一郎 小山田 匠吾 |
★高橋 優宏〈難聴・人工内耳〉 ★小山田 匠吾 ★〈補聴器外来〉 |
| 土 |
★交替制 ★〈遺伝カウンセリング外来〉(不定期) |
★交替制 |
【特記事項】
- ※★印は予約制です。
- ※ご予約の方を優先的に診療します。予約外の方は電話にてお問い合わせください。
- ※ご予約のない方は掲示されていない医師が診察することがあります。
- ※午後はすべて専門外来(予約制)です。
- ※土曜日は完全予約制です。
- ※土曜日午前の遺伝カウンセリング外来の実施・休診日は毎月の外来医師体制表で確認いただけます。
リンク
ご予約・お問い合わせ
電話03‐3451‐8121(代表)
※14:00~17:00の間にお願いいたします。