- ホーム
- 診療科のご案内
- 歯科口腔外科(一般歯科・インプラント歯科)
- 顎骨嚢胞・腫瘍
歯科口腔外科(一般歯科・インプラント歯科)
顎骨嚢胞・腫瘍
顎骨嚢胞とは顎の骨の中にできる袋状の病変です。代表的なものが、歯根の先にできる歯根嚢胞と顎の中に埋伏した歯の周りにできる含歯性嚢胞です。放置すると大きくなりますので、摘出術が必要です。小さなものは通院での治療が可能ですが、嚢胞が大きい場合には、入院して全身麻酔下で手術を行います。
顎骨には良性、悪性または歯原性、非歯原性とさまざまな腫瘍ができます。それらの腫瘍に対しても、腫瘍の切除と顎骨の再建術を行っています。
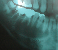
歯根嚢胞
※写真をクリックすると大きい画像が開きます。
含歯性嚢胞
※写真をクリックすると大きい画像が開きます。
顎骨腫瘍
下顎の中に腫瘍ができ、骨を溶かしています(黄色の矢印)。
全身麻酔下で、腫瘍と一緒に下顎を切除しました。
切除後は腰の骨(腸骨)を移植し、顎を再建しました。
※写真をクリックすると大きい画像が開きます。






