脊椎脊髄センター
側弯症:こどもの側弯症、おとなの側弯症
こどもの側弯症
どんな病気?
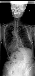
せぼね(脊椎)は7個の頚椎、12個の胸椎、5個の腰椎と仙椎から構成されます。正常な状態では脊椎は正面から見ると真っ直ぐです。一方側弯症では正面から見た時に椎体がねじれ(回旋)を伴いながら、脊椎が左右に曲がっている状態です。
装具治療の対象となる20-30度以上の側弯症の発生頻度はおおよそ0.3~0.5%と報告されています。手術が必要な可能性が出てくる40度以上の側弯症の発生頻度はおおよそ0.1%です。

原因
こどもの側弯症にはさまざまな原因があります。一番頻度の高いものは特発性側弯症です。特発性とは「原因が現時点で不明である」という意味です。特発性側弯症の原因は世界中で研究されていますが、今のところはっきりとした原因は分かっておりません。特に思春期の女児に多いことがわかっています。そのほかの側弯症として脊髄などの中枢神経の異常に伴う側弯症(神経原性側弯症)、筋肉の疾患に伴う側弯症(筋原性側弯症)、椎体の変形による側弯症(先天性側弯症)、そのほかマルファン症候群などの結合組織の異常に伴った側弯症など、さまざまな側弯症の原因が分かっております。
症状
側弯症では脊柱が曲がってくるため、以下のような外見状の変化が生じる場合があります。
- 肩の高さの非対称
- 腰のくびれの非対称
- 骨盤の傾き
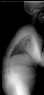
- 肩甲骨部の背中の出っ張り
特に最も多い胸椎が右に弯曲する側弯症ではアダムステストと呼ばれる体幹を前に屈めるテストを行うと、右の背中が盛り上がります。痛みや機能の障害を伴うことは比較的稀です。
治療法
こどもの側弯症の治療法は側弯の程度に応じて以下のように分けられます。
1. 経過観察
3-12ヶ月毎にX線を撮影して側弯の進行を確認します。このような場合はカーブの大きさがコブ角(カーブしている椎体の上の端と下の端を直線で延ばして交わる角度)で25度以下の軽度の側弯症の場合です。
2. 装具治療
骨成熟前(おおよそ14-15歳以下)でコブ角が25度前後の場合に開始します。装具は、初期には一日中着用します。おおよそ16歳前後まで着用します。装具治療開始後は3-4ヶ月毎にレントゲンを撮り、カーブの進行の有無を確認します。装具は個人ごとに最も側弯の矯正に見合った形に型取りをしてオーダーメイドで作成します。近年の米国での信頼性の高い研究でも長時間の装具の着用が側弯症の進行の予防に効果的であることが報告されています。
3. 手術療法
手術の最大の目的は側弯の進行の予防です。進行の確率は、10~12歳の場合、コブ角30度以上の側弯では約90%の確率で、コブ角60度以上の側弯の場合は100%の確率で進行します。仮に重度の側弯症になった場合、疼痛や整容的な問題にとどまらず、肺機能の低下(息切れ)が生じます。これは脊柱の変形によって肺が圧迫されるためです。骨の成長終了後(18-20歳以上)もコブ角が40度を超えた側弯症は年間0.5~1度程度の進行があるといわれております。成長終了後の側弯症では、今後の側弯の進行の可能性と手術の危険性などを主治医と相談して、手術を受けるかどうか決めたほうが良いと考えられています。
こどもの側弯症に対する手術には以下の種類があります。
おとなの側弯症
どんな病気?
おとなの側弯症には主にせぼねの加齢による変形が原因となる変性側弯症とこどもの頃からせぼねの変形があり、成人後に進行した特発性側弯症の成人期遺残(本来退化消失すべき組織または器官が存在する)があります。変性側弯症と症状は腰痛から始まることが多いのですが、変形した組織が神経を圧迫すると下肢の痛みや筋力低下などの神経症状が進行することもあります。特発性側弯症の成人期遺残では症状は全くない場合もありますが、軽度の腰痛や背中の痛みがある場合が多いです。いずれの側弯症でも変形が進行すると体幹のバランスを保てなくなり、杖などの支えが必要な状態となります。


原因
変性側弯症は椎間板や椎間関節といった脊椎の組織が変性することや、骨折による変形などにより脊椎が大きく弯曲してくる状態のことです。もともと特発性側弯症などがあり、そこから進行する患者様もいますが、多くの場合は加齢そのものが原因です。特発性側弯症の原因は現時点では明らかではありませんが、遺伝的な原因や遺伝子の変異が影響していることが最近わかってきました。
検査方法
せぼね全体のバランスや変形の進行を見るために数ヶ月おきに立位でのX線検査やCT検査、MRI検査を行います。進行例では脊髄の圧迫をより詳しく評価するために、入院して脊髄造影検査を行う場合があります。さらに、同時にどの神経が痛みの原因となっているかを明らかにするため、神経の枝に直接麻酔薬を注入する選択的神経根ブロックを行う場合があります。また骨密度が低いと側弯症が進行する可能性があるため、骨密度検査を行う場合があります。
治療方法
症状が軽度であればコルセット、運動療法、痛み止めなどの対症療法が中心になりますが、進行例では手術が必要になります。手術は変形を矯正するのであれば、金属のインプラントを用いてせぼねの固定をおこなう必要があります。そのため変性側弯症の手術は患者様への負担も大きく、高い専門性を求められる手術です。しかし最近では患者様の体への負担を軽減する方法が広まっており、高齢者の方でも手術治療の対象となってきました。
おとなの側弯症に対する手術には以下の種類があります。