脊椎脊髄センター
代表的疾患
腰部脊柱管狭窄症
どんな病気?
せぼね(脊椎)は7個の頚椎、12個の胸椎、5個の腰椎と仙椎から構成されます。腰椎は主に5つの骨と、間にあるクッションのような椎間板、また神経組織が通っている脊柱管から成り立っています。加齢性変化などにより腰椎の脊柱管が狭くなると、神経組織を圧迫し、下肢のしびれや痛み、脱力などを生じるようになります。この病態を腰部脊柱管狭窄症と言います。中高年における坐骨神経痛の多くは、腰部脊柱管狭窄症によるものです。高齢化とともに年々患者数が増加しており、推定患者数は約580万人と言われています。


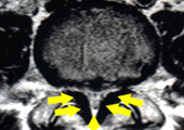
腰部脊柱管狭窄症のMRI画像。神経が複数箇所で狭窄を来している。
症状
腰の痛みのほか、下肢(殿部、大腿部、下腿、足など)に放散する痛みやしびれが出ます。立ったり歩いたりすると腰や下肢の痛みやしびれが強くなり、前かがみや座って休むと再び歩けるようになる間欠跛行(かんけつはこう)と言われる症状が特徴的です。重度になると、安静時にも下肢の痛みやしびれが出現するようになります。間欠跛行は、血行障害によっても似た症状がでることがあり注意が必要です。
検査方法
せぼねの変形や椎間板の傷み具合、不安定性の有無、脊柱管の狭さ、またせぼね全体のバランスなどを見るためにX線検査やCT検査、MRI検査などを行います。進行例では脊柱管の狭さをより詳しく評価するために入院して脊髄造影検査や、同時にどの神経が痛みの原因となっているかを明らかにするために神経の枝に直接麻酔薬を注入する選択的神経根ブロックを行う場合があります。22~40歳頃の成人期では血管性の下肢の痛みがないか評価するために両手足の血圧を測ったり、骨粗鬆症の有無を評価するために骨密度検査を行うこともあります。
治療方法
まずは鎮痛薬やプロスタグランディン製剤(脊柱管内の血流を改善する)、コルセット、リハビリテーションなどの保存治療で経過をみます。保存治療に抵抗性(効果がみられなかったり、効果がだんだんと弱くなる)で保存治療では改善が乏しく日常活動が制限されている場合、足の力が入りづらくなったり(麻痺)、排尿や排便に障害(膀胱直腸障害)が出たりするなど重篤な神経障害を生じた場合には手術治療を考慮します。術式は除圧のみの術式と固定を併用する術式に大別されます。除圧術では、脊柱管が狭くなっている部分の骨や靭帯などを一部削り、脊柱管を広げることで神経の圧迫を取ります。不安定性がある場合などには固定術を行います。当センターでは、適応をよく検討した上で、なるべく負担の少ない手術法を取り入れています。
腰部脊柱管狭窄症に対する低侵襲手術には以下の種類があります。
腰椎椎間板ヘルニア
どんな病気?
せぼね(脊椎)は7個の頚椎、12個の胸椎、5個の腰椎と仙椎から構成されます。腰椎は主に5つの骨と、間にあるクッションのような椎間板、また神経組織が通っている脊柱管から成り立っています。椎間板ヘルニアとは、椎間板の中央にある髄核の一部が周りにある線維輪の亀裂から出て、後方の脊髄や神経根を圧迫してしまう病気です。原因は加齢、重量物の挙上など外的な負荷、スポーツなどの外傷、また近年では遺伝的な関与も指摘されています。腰椎椎間板ヘルニアは20〜40歳代に発症することが多く、男女比は約2:1と言われています。



椎間板ヘルニアのMRI画像。前方の椎間板から脊柱管に向かってヘルニアが突出している。
症状
症状は腰の痛みのほか、下肢(殿部、大腿部、下腿、足など)に放散する痛みやしびれが特徴的で、激しい痛みにより歩行が困難となる方もいます。
検査方法
椎間板の傷み具合や膨隆(膨らんで大きくなっている)の程度、不安定性の有無、またせぼね全体のバランスなどを見るためにX線検査やCT検査、MRI検査などを行います。その他、入院して行う脊髄造影検査や、神経の枝に直接麻酔薬を注入する選択的神経根ブロック、あるいは椎間板造影や椎間板ブロックを行うこともあります。22~40歳頃の成人期では血管性の下肢の痛みがないか評価するために両手足の血圧を測ったり、骨粗鬆症の有無を評価するために骨密度検査を行うこともあります。
治療方法
まずは鎮痛薬やブロック治療、コルセット、リハビリテーションなどの保存治療で経過をみます。保存治療に抵抗性(効果がみられなかったり、効果がだんだんと弱くなる)の場合、足の力が入りづらくなったり(麻痺)、排尿や排便に障害(膀胱直腸障害)が出たりするなど重篤な神経障害を生じた場合、また早い社会復帰を希望される場合には手術治療を考慮します。麻痺や膀胱直腸障害が顕著な場合には、放置すると回復できなくなることもあるので早めの手術が必要になります。
当センターでは、適応をよく検討した上で、なるべく負担の少ない手術法を取り入れています。近年、保存治療と手術治療の間に位置するような治療として、コンドリアーゼという酵素を椎間板に注入して椎間板を縮める治療法もありますが、適応や効果には個人差があります。
腰椎椎間板ヘルニアに対する低侵襲手術には以下の種類があります。
腰椎変性すべり症
どんな病気?
せぼね(脊椎)は7個の頚椎、12個の胸椎、5個の腰椎と仙椎から構成されます。腰椎は主に5つの骨と、間にあるクッションのような椎間板、また神経組織が通っている脊柱管から成り立っています。腰椎変性すべり症は、椎間板などの加齢性変化により腰の骨が前方にすべってしまう病気です。中年以降の女性に多く、4番目や3番目の腰の骨に多く見られます。腰の骨がずれると、神経の通り道である脊柱管が挟くなり、腰部脊柱管狭窄症と同様の症状が生じます。


腰椎すべり症のX線とMRI。第4・5腰椎の間で前後に骨がずれて脊柱管が狭窄している。
症状
腰部脊柱管狭窄症と同様に、腰の痛みのほか、下肢(殿部、大腿部、下腿、足など)に放散する痛みやしびれ、間欠跛行(立ったり歩いたりすると腰や下肢の痛みやしびれが強くなり、前かがみや座って休むと再び歩けるようになる)、また排尿や排便に障害(膀胱直腸障害)が出たりします。
検査方法
せぼねの変形や椎間板の傷み具合、すべりや不安定性の程度、脊柱管の狭さ、またせぼね全体のバランスなどを見るためにX線検査やCT検査、MRI検査などを行います。進行例では脊柱管の狭さをより詳しく評価するために入院して脊髄造影検査や、同時にどの神経が痛みの原因となっているかを明らかにするために神経の枝に直接麻酔薬を注入する選択的神経根ブロックを行う場合があります。22~40歳頃の成人期では血管性の下肢の痛みがないか評価するために両手足の血圧を測ったり、骨粗鬆症の有無を評価するために骨密度検査を行うこともあります。
治療方法
まずは鎮痛薬やプロスタグランディン製剤(脊柱管内の血流を改善する)、コルセット、リハビリテーションなどの保存治療で経過をみます。保存治療に抵抗性(効果がみられなかったり、効果がだんだんと弱くなる)で保存治療では改善が乏しく日常活動が制限されている場合、足の力が入りづらくなったり(麻痺)、排尿や排便に障害(膀胱直腸障害)が出たりするなど重篤な神経障害を生じた場合には手術治療を考慮します。術式は除圧のみの術式と固定を併用する術式に大別されます。除圧術では、脊柱管が狭くなっている部分の骨や靭帯などを一部削り、脊柱管を広げることで神経の圧迫を取ります。不安定性が強い場合などには固定術を行います。
当センターでは、適応をよく検討した上で、なるべく負担の少ない手術法を取り入れています。
腰椎変性すべり症に対する手術には以下の種類があります。
腰椎分離症・分離すべり症
どんな病気?
せぼね(脊椎)は7個の頚椎、12個の胸椎、5個の腰椎と仙椎から構成されます。腰椎は主に5つの骨と、間にあるクッションのような椎間板、また神経組織が通っている脊柱管から成り立っています。腰椎分離症とは、腰の骨の後ろの部分にある上・下関節突起間部と呼ばれる部分の連続性が断たれた状態を言います。上・下関節突起間部に疲労骨折が生じ、偽関節(骨がくっつかない)になると腰椎分離症となります。さらに、腰の骨が前方にすべってしまうと腰椎分離すべり症と呼ばれ、分離症患者の10~20%が分離すべり症に移行すると言われています。


腰椎分離症のCT。突起間部の一部に骨折がみえる。
症状
腰椎分離症は、13~22歳頃の青年期に運動をたくさんした人や、スポーツ選手に起こりやすい病気です。背中を反ったりひねったりした際などに腰に強い痛みが生じやすく、また分離すべり症となると分離部付近にある神経根を刺激して下肢(殿部、大腿部、下腿、足など)に放散する痛みやしびれ、時に脱力が出たりすることもあります。形成不全性すべり症と言って先天的な高度すべり症を除き、排尿や排便に障害(膀胱直腸障害)をきたすことは基本的にありません。
検査方法
せぼねの変形や椎間板の傷み具合、すべりや不安定性の有無、脊柱管の狭さ、またせぼね全体のバランスなどを見るためにX線検査やCT検査、MRI検査などを行います。進行例では脊柱管の狭さをより詳しく評価するために入院して脊髄造影検査や、同時にどの神経が痛みの原因となっているかを明らかにするために神経の枝に直接麻酔薬を注入する選択的神経根ブロックを行う場合があります。22~40歳頃の成人期では血管性の下肢の痛みがないか評価するために両手足の血圧を測ったり、骨粗鬆症の有無を評価するために骨密度検査を行うこともあります。
治療方法
青年期かつ発症後間もなくであれば、コルセットや安静などの保存治療により、疲労骨折した部位が骨癒合(骨がくっつく)することが期待できます。成人期では保存治療による骨癒合は原則期待できません。骨癒合が得られない場合には、痛みをコントロールすることが治療の主体となります。鎮痛薬やコルセット、リハビリテーションなどの保存治療で経過をみますが、改善が乏しく日常活動やスポーツ活動が制限されている場合、足の力が入りづらい(麻痺)場合などには手術治療を考慮します。腰椎分離症に対する手術は主に2つで、分離部修復術と椎体間固定術があります。椎間板の傷み具合やすべりの有無、年齢などで適応を判断します。当センターでは、適応をよく検討した上で、なるべく負担の少ない手術法を取り入れています。
腰椎分離症・分離すべり症に対する低侵襲手術には以下の種類があります。