整形外科
代表的疾患・手術(足の外科)
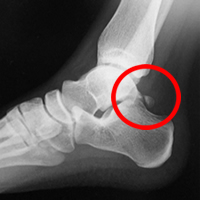
足関節後方インピンジメント症候群(三角骨障害、長母趾屈筋腱障害)
バレエダンサーや、サッカー選手は、足関節を底屈(足首を伸ばす)することが多く、足首の後ろ側を痛めることが多く見られます。
足関節の距骨という骨の後ろ側が大きく突き出していたり、離れて過剰骨となっていたりする方(三角骨といいます)が何度も足関節を底屈すると、その骨が脛骨と踵骨の間に挟まりこみ(インピンジメント)足関節の後方に炎症を起こし、痛みの原因となるのです。


バレエダンサーでは、さらに足関節を底屈したまま母趾も伸ばして立つ、ポアントという状態で踊ることが多く、長母趾屈筋腱(足の親指を曲げる筋肉)を酷使しています。
●保存療法
治療はまず保存療法が選択されます。炎症を抑えるために ①安静にする ②痛み止めや炎症を抑える注射を行うといった治療が選択されます。
当院では、まず十分な診察を行ったうえで、レントゲン、超音波検査、MRIなどの画像診断を組み合わせて痛みの原因となっている部分を判断します。
保存療法においては、患者様のフォームを確認し、痛みの原因となる動きの癖などの修正方法を指導することもあります。
●手術療法
保存療法では痛みが取れない場合には、手術療法が選択されます。手術では主に内視鏡を使用して三角骨の摘出、並びに長母趾屈筋腱の腱鞘の切開を行っています。
内視鏡の手術では腹臥位(うつ伏せ)で行います。アキレス腱の両側に7mm程度の傷をつけるだけで手術を行うことができます。手術中に足関節後方の滑膜炎の程度(痛み具合)や長母趾屈筋腱の障害の程度を評価し、お一人おひとりの状態に合わせたリハビリを行っていきます。
平均して10日~2週間程度入院します。退院後も再発しない様に、体の正しい使い方などを指導していきます。


外反母趾
外反母趾とは、足の親指(母趾)が、第2趾の方へ曲がって変形している足の変形です。
母趾の付け根の内側の痛みを生じる場合が多く、バニオンと呼ばれる胼胝(たこ)を形成することもあります。親指の症状だけでなく、第2趾や第3趾の足底痛や足の甲の痛みを生じることもあります。
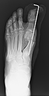
●靴の調整と負担の少ない手術療法
靴の調整や足底挿板による治療が基本となりますが、変形の矯正のためには母趾の中足骨を骨切りする手術が必要になる場合があります。
外反母趾の手術法は100種類以上あるといわれていますが、当院では患者さんへの侵襲の少ないDLMO(デルモ)法という第1中足骨遠位骨切り術を行っています。この術式は約2cmの皮膚切開で、第1中足骨を骨頭基部で骨切りしたのち、骨片間を鋼線1本で止めるというシンプルな術式です。鋼線は手術後1か月で抜去するので、術後に体の中にインプラント(金属)が残らないこともこの術式の特徴といえます。





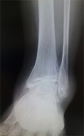
変形性足関節症
変形性足関節症は、足関節の表面に覆われている軟骨がすり減ってしまう疾患です。骨折や繰り返す捻挫など外傷によって起こることが多いと言われています。
歩行時に軟骨のすり減っている部分に疼痛が生じます。病態が進行すると、外観上も足の変形が認められます。
●靴の調整と薬の服用
変形の程度が軽い場合は、足底挿板や鎮痛薬内服による治療を行います。
●手術療法
痛みが強い場合や変形が強い場合は、主に関節固定術を行います。適応となる患者さんは限られていますが、足関節の可動域を温存するため、脛骨低位骨切り術や人工足関節置換術を行うこともあります。
●負担を小さくする関節鏡下関節固定術
当院では、膝関節や股関節などの下肢全体のアライメントを含めて、痛みの原因を追究し、手術療法を決めるようにしています。従来は足関節前方を大きく切開して行う方法が行われていましたが、手術後の痛みや傷が大きくなることが問題でした。当院では患者さんへの侵襲を減らすため、皮膚切開を大きく行わない関節鏡視下関節固定術を積極的に導入しています。

単純レントゲン写真
(矢印)

慢性足関節外側靭帯損傷
足関節の外側靭帯は、足関節の内返しの捻挫で最も損傷しやすい靭帯です。捻挫に対して適切な治療がなされなかったり、捻挫を繰り返したりすることで、慢性の外側靭帯の機能不全に陥ることが少なくありません。その場合、運動時の足関節の不安定感や疼痛、腫脹を生じます。
●リハビリテーション
まず当院では、リハビリテーションによる回復を望めると判断した場合は、リハビリテーションによる保存的治療を行います。保存的に治療を行っても痛みが残る場合には、外側靱帯の縫縮術等を行っています。
●関節鏡を使った負担を小さくする手術療法
外側靱帯損傷に伴った軟骨の損傷を確認し、また手術における組織への侵襲を減らすため、可能な限り関節鏡で縫縮を行っています。損傷がひどい場合には再建術を行うこともあります。


足の疾患は多岐にわたるため、一般診療では足の痛みの原因がなかなか診断されないこともあります。また、靴の調整など少しの工夫で痛みから解放されることもあります。足の痛みで悩んでいる方はぜひご相談ください。丁寧に診察、検査、治療いたします。
国際医療福祉大学 足の外科外来
国際医療福祉大学三田病院
竹島 憲一郎医師 金曜午後(2,4,5週)(足,スポーツ外来)
国際医療福祉大学成田病院
竹島憲一郎医師 毎週水曜午前,午後
国際医療福祉大学市川病院
竹島憲一郎医師 金曜午前(1,3週)
国際医療福祉大学塩谷病院
須田康文医師 月曜午前(予約制)、木曜午前(予約制)