脳神経外科
良性脳腫瘍の外科治療
当科では主に髄膜腫および神経鞘腫の治療に力を入れています。
髄膜腫(特に頭蓋底部)
髄膜腫は脳を覆っている硬膜という組織から発生する良性腫瘍です。脳表にできたものは摘出が容易ですが、脳深部(特に頭蓋底部)にできたものは脳実質や神経、血管を巻き込みながら腫瘍が存在しているので摘出は困難です。当科では術中ナビゲーションシステムや神経生理学的モニタリングを使用しながら安全かつ効率的な手術を行っています。
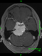
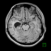
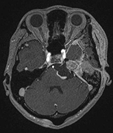
症例1) 65歳男性、頭蓋底部巨大髄膜腫、外科手術のみ
<画像所見>

巨大脳腫瘍を認める。


錐体斜台部巨大髄膜腫を認め、
神経や血管を巻き込んでいる。



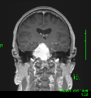
症例2) 31歳女性、頭蓋底部巨大髄膜腫、外科手術+放射線治療
<画像所見>


腫瘍はほとんど消失している。術後患者様は右眼瞼下垂、複視(動眼神経麻痺)生じたが、自宅退院された。
神経鞘腫
神経鞘腫は神経の外側を覆っている膜(鞘:さや)から発生する腫瘍で、多くは軟部組織の末梢神経から発生します。中枢神経系では、大部分が第8脳神経(聴神経)より発生し難聴や小脳失調、水頭症などの原因となります。まれに第5脳神経(三叉神経)やその他の脳神経にも発生します。良性腫瘍ですから、完全に切除できれば再発はありません。しかし、頭蓋内神経鞘腫は小さい病変であれば摘出が可能ですが、大きな病変となり、脳神経や血管、脳を巻き込むようになると手術で完全に摘出することは困難となります。外科的切除のほかに放射線治療も行われています。予後は良好ですが、神経の機能障害が残ることがあります。
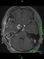
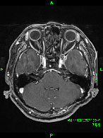
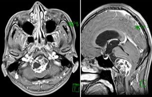
症例1) 52歳女性 左聴神経鞘腫、外科治療のみ
< 画像所見 >

右内耳道内に脳腫瘍を認める。
< 手術所見 >




腫瘍消失、顔面神経麻痺なし
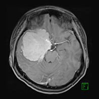
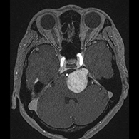
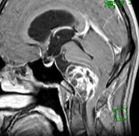
症例2) 38歳女性、左三叉神経鞘腫、外科治療のみ
< 画像所見 >

右三叉神経部に大きな腫瘍あり。
< 手術所見 >



ナビゲーションシステムの使用

< 術後画像所見 >



症例3) 31歳男性、延髄前面巨大舌下神経鞘腫
< 画像所見 >



