脳神経外科
脳血管障害の外科治療
脳血管障害は生命に危機的状況をもたらすだけでなく、寝たきりになったり、自由な行動を制限したりする原因になります。適切な治療により健康寿命を延ばすことが可能になります。当科で行っている代表的な外科手術をお示しします。
くも膜下出血の原因となる脳動脈瘤(のうどうみゃくりゅう)の外科治療
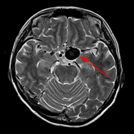
63歳女性、左眼視力低下で発症
<画像所見>



左眼の奥に大きな動脈瘤認める。

(→動脈瘤)
<手術方法>

左前頭側頭開頭で動脈瘤クリッピング術を行った。
手術中は脳血管撮影装置を用いたHybrid手術を施行し、動脈瘤の消失を手術中に確認する。




手術中MEP(運動神経)VEP(視力)モニタリングで術後の視力低下や手足の麻痺を予防する。
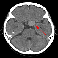
<実際の手術所見>


<手術中の脳血管撮影画像>


瘤(こぶ)は消失



患者様は術前からあった左視力低下以外に神経症状なし。元気に自宅退院された。
脳梗塞の原因となる頚動脈狭窄症に対して内膜剥離術を行う
56歳男性、左半身麻痺で発症した。
<術前画像所見>


右側で頸部内頚動脈が細くなっているため右脳に脳梗塞を生じた。
<手術所見>
手術で血管の内部で肥厚した内膜を除去する(内膜剥離術)。




<術後画像所見>


頸部狭窄は解消しており、新たな脳梗塞など生じていない。
<術後脳血流検査(SPECT)>
脳血流は正常に保たれている。
もやもや病に対する頭蓋内外脳血行再建術
もやもや病は原因不明の進行性脳内血管狭窄疾患であり、国によって難病指定されている病気です。典型的には小児や若年成人に起こり、脳虚血(脳梗塞)、脳出血を生じます。頭蓋内外脳血行再建術(バイパス手術)が必要な場合があります。
38歳、もやもや病、左半身一過性脳虚血発作
<画像所見>


(脳血管の脱落、赤丸部)



頭皮の血管を脳表の血管に吻合する。
<実際の手術>




<術後画像検査>


術後はバイパス血管が脳内に向かって出現している(赤丸印)。
<術後脳血流検査(SPECT)>
術前血行不良であった領域(オレンジ部)が術後には血流改善(緑色)している。患者様の症状は消失し、社会復帰された。