脳神経外科
機能外科手術
脳神経が動脈に圧迫されて生じる疾患郡であり、三叉神経痛、舌咽神経痛、片側顔面けいれんなどがあります。神経と血管の圧迫を解除(減圧)すれば症状は消失します。
症例1) 65歳男性、頭蓋底部巨大髄膜腫、外科手術のみ
<画像所見>


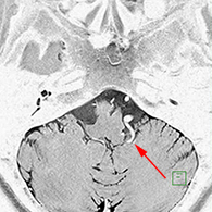
左後下小脳動脈が左舌咽神経を圧迫していたために左咽頭部を中心に激しい痛みが生じていた。
< 手術所見 >







左後下小脳動脈(矢印)は術後に本来の位置から移動している。
舌咽神経への血管圧迫が解除されたため、術後に患者様は舌咽神経痛が消失した。