眼科
基本的な疾患の治療
●白内障手術
白内障は主に年齢とともに進行することが多くなりますが、外傷、糖尿病、ステロイドの長期服用などでも生じることがあります。
当院では白内障手術は日帰り、または入院(原則1泊2日)で実施しています。取り扱い眼内レンズには単焦点、乱視矯正単焦点、保険適応多焦点(遠方、中間距離)などがあります。病態とニーズに合わせて適切な眼内レンズを選択してまいります。
選定療養対応の多焦点レンズ(遠方、中間、近方の3焦点)については近日中に導入する予定です。
●VEGF阻害剤(ルセンティス®、アイリーア®)硝子体内注射
加齢黄斑変性、糖尿病黄斑浮腫、網膜静脈閉塞症に伴う黄斑浮腫等に対しては、VEGF阻害剤の硝子体内注射を実施します。
定期的な検査と複数回の注射が必要になることがあります。
●トリアムシノロン注射
糖尿病黄斑浮腫、網膜静脈閉塞症に伴う黄斑浮腫に対して、ステロイド薬(トリアムシノロン)をテノン嚢下や硝子体内に注射します。
何らかの理由でVEGF阻害剤が使えない方にでも実施可能です。
●後発白内障レーザー手術
白内障手術をうけて数か月から数年後に再び見えにくくなってくることがあります。眼内レンズを固定した水晶体嚢が再び濁ってくることが原因で後発白内障とよばれます。
YAGレーザーによる治療が可能です。所要時間は10分程度です。
●網膜光凝固術
飛蚊症(黒いものが飛んで見える)が急に出てきた時の原因の一つに網膜に穴が開いてしまう網膜裂孔があります。
放置すると網膜剥離に進展することがあるので、裂孔の周りをレーザーで焼き固める治療を行います。
●汎網膜光凝固術
糖尿病網膜症、網膜中心静脈閉塞症などにより網膜の毛細血管が幅広く詰まってしまうと、硝子体出血や血管新生緑内障の原因となります。
その治療のために網膜全体にレーザーをあてることがあります。複数回に分けて実施します。
緑内障の治療
開放隅角緑内障
●点眼治療
眼圧下降治療の基本です。基本的に1日1回、または2回の点眼を行い、1剤で十分に眼圧が下がらない場合などに2剤、3剤と点眼薬の種類を増やしていきます。
点眼薬であっても全身の副作用が出るものなどもあるため年齢やほかの全身疾患なども配慮して使用する点眼を選択していきます。
●レーザー治療
当院ではSLT(選択的レーザー線維柱帯形成術)を行っています。
線維柱帯といわれる眼の中の水の出口に当たる部位にレーザー光を照射することで水の流れの抵抗が減って眼圧が下がります。
20年ほどの歴史があり合併症などは少なく比較的安全に行える治療ですが、眼圧を下げる効果は点眼1剤と同程度と言われています。一般的には点眼治療で不十分な方に追加治療で行うもので、点眼薬の数が多くなるほどレーザー治療の効果が落ちることがわかっています。
また近年イギリスで行われた臨床研究で初期治療としてのSLTの有効性が示されたこともあり当院では治療の初期から点眼治療ではなくSLTを行う場合もあります。すべての緑内障に有効というわけではないためレーザー治療を行ったほうが良いかどうかは診察の上でまたお話しします。
●手術治療
緑内障の手術治療は病気を治すための治療ではありません。
あくまでも眼圧を下げるための手術であるため、基本的には点眼薬やレーザー治療で十分に眼圧が下降せずに病気が進行する場合に行います。
手術法は流出路再建術と濾過手術の2つに大別されます。
流出路再建術
線維柱帯を切開またはパイプを刺し、線維柱帯部分の水の流れを良くすることで眼圧を下げます。
いくつか方法はありますが、当院では基本的に金属製のフック、または刃を使って線維柱帯を眼内から切る方法で行っています。この方法では1.5mm程度の小さな穴から眼内に入り線維柱帯のみ切開するため比較的合併症も少なく、また短時間(10分程度)で行えます。
白内障手術の際に白内障手術の傷口からも行えるため、眼圧が安定している方であっても白内障手術の際に点眼薬を複数使っている方などは同時にこの手術を行って点眼薬を減らせるようにもしています。
濾過手術
強膜といわれる白目の厚い壁に穴をあけて眼内の水を眼の外まで流出させることで眼圧を下げます。
メスで穴をあける方法(線維紐帯切除術)、小さな金属のチューブを刺す方法(エクスプレス)、シリコン製のチューブと板を挿入する方法(ロングチューブインプラント)などが日本で認可されていますが、当院では線維柱帯切除術とエクスプレスを行っています。
上の流出路再建術に比べて眼圧を下げる効果が大きいのですが、術後の細菌感染リスクがほかの手術に比べて高いなどの欠点もあります。
どの術式が適しているのかは年齢や現在の視野の程度、眼圧、緑内障のタイプなどにより異なってくるため診察の上で状況に応じて説明いたします。
閉塞隅角緑内障
●(レーザー)虹彩切開術
虹彩、いわゆる茶目の部分に穴をあけることで眼内の水の流れのバイパスをつくって隅角を広げる方法です。基本的には外来で、レーザー治療で行います。
●白内障手術
緑内障の治療に白内障手術? と思われるかもしれませんが、閉塞隅角緑内障の発作の予防としては極めて有効な治療方法です。
白内障手術は、基本的には水晶体といわれるもともとあるレンズを取り除き、人工レンズに入れ替えるという手術です。水晶体に比べて人工レンズは非常に薄いため、手術を行うことで眼内の水が通るスペースが物理的に広がることになります。
逆に白内障が進行すると水晶体が徐々に膨らみ眼内のスペースがより狭くなるため、発作のリスクが増してきます。
角膜の治療
●帯状角膜変性・角膜石灰化除去
何らかの原因で角膜表面に石灰沈着を起こすことがあります。これは帯状角膜変性とよばれ、視力低下の原因になります。当院では日帰りで除去手術を行っています。
●翼状片切除(弁移植を伴うもの、マイトマイシンCを使った再発予防を含む)
翼状片とは、結膜の一部が角膜(黒目)に侵入することで乱視を生じたり視力が低下したりする病気です。
手術により再発が多いことが知られており、再発予防のため、当院では結膜弁移植の他、マイトマイシンCを使った手術を実施しています(倫理委員会承認済)。

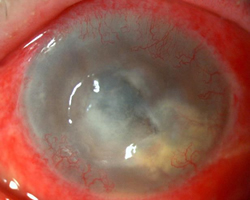
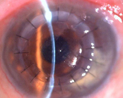
●全層角膜移植
濁ってしまった角膜のかわりに、透明なドナー角膜をはめこみ縫い付ける手術です。
円錐角膜での急性水腫後、実質混濁の強い水疱性角膜症など角膜全体がダメージを受けてしまった眼に適応があります。当院では全身麻酔下で行っています。


● 表層角膜移植(ALK、DALK)
角膜の表面をドナー角膜と入れ替えるパーツ移植の一種です。
周辺部の角膜穿孔を起こした場合(ALK)、角膜ヘルペスや円錐角膜で角膜の変形や実質混濁が強い場合(DALK)などに実施されます。
●角膜内皮移植(DSAEK・DMEK)
フックス角膜ジストロフィが進行したり、手術後、外傷などで角膜の一番内側の内皮細胞層がダメージを受けたりすると水疱性角膜症という状態になり、角膜が濁って視力が下がります。
角膜内皮移植とは、傷んでしまった内皮細胞をドナー角膜の内皮細胞でおきかえるパーツ移植です。全層角膜移植に比べて術後乱視の軽減、合併症リスクの軽減、拒絶反応の軽減などのメリットがあります。


●自己角膜輪部移植
角膜上皮細胞の幹細胞は角膜輪部にあり、アルカリ外傷など何らかの理由で角膜輪部が傷害されると角膜輪部機能不全となり角膜上皮が正常に張らなくなってしまいます。場合によっては失明することもあります。
片眼が健康である場合、その角膜輪部の一部を切り取って患眼に移植することで角膜上皮の再生を促す治療法です。
円錐角膜の治療
●角膜クロスリンキング(自費診療)
リボフラビン溶液を点眼後、長波紫外線を照射することで角膜実質を架橋させて硬くし、円錐角膜の進行を抑える治療法です。
現在日本では保険診療として承認されていません。当院では自費診療として実施する予定です。【近日導入予定】